福岡市博多区の精密入れ歯・義歯の相談は博多プライベート歯科 入れ歯専門特設サイトへ
MENU
ホーム
医院案内
医院案内
初めての方へ
当院の8つのお約束
医院概要
診察時間
アクセス
スタッフ紹介
治療費
治療費
治療費について
治療費のご負担を減らすために
らくらく分割プラン
モニター治療募集
医療費控除について
治療費を見る上での重要ポイント
治療費の考え方について
診察案内
診察案内
入れ歯(義歯)治療について
入れ歯の審美性を高めるための当院のこだわり
バレない!気づかれない!
美しい見た目の入れ歯治療
歯がボロボロ・ガタガタ
重度の症状の方向けの治療
歯抜けにならない
抜歯即時義歯治療
柔らかいから痛くない
シリコンの入れ歯
遠方からのお越しの方向け
特別集中プログラム
出張入れ歯制作
モニター治療募集
アフターフォロー
入れ歯のリフォーム
症例集/治療例
症例集/治療例
症例集
治療例
知識/特集
知識/特集
若くして入れ歯になった方にも美しい入れ歯を
精密(BPS)入れ歯・義歯とは?
入れ歯(義歯)ができあがるまで
保険の入れ歯と自費の入れ歯の違い
初めての入れ歯が不安な方へ
インプラントをお考えの方へ
インプラントと入れ歯の違い
インプラントの危険性について
インプラントから入れ歯への移行について
その他の入れ歯の種類と特徴
なぜ保険の入れ歯は噛めないのか?
歯茎の色について
健康寿命について
当院の精密入れ歯を動画で見る
何度作っても合わない方へ
あなたに合った入れ歯はどのタイプ?
当院に九州・山口各地から
入れ歯(義歯)Q&A
スタッフブログ
~最新情報更新中~
診療時間
アクセス
最新情報
092-260-3688
お問い合わせ
フォームはこちら
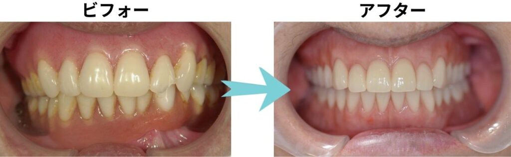
3777_9
福岡入れ歯専門特設サイト トップ
>
3777_9
前の画像
次の画像
3777_9
コメントを残す
コメントをキャンセル
メールアドレスが公開されることはありません。
*
が付いている欄は必須項目です
コメント
名前
*
メール
*
サイト
投稿ナビゲーション
3777_9
内で公開