2026-02-19

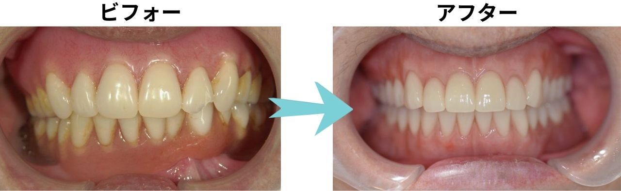
「笑った時に金属のバネが見えるのが恥ずかしい」「インプラントは手術が怖くて踏み切れない」というお悩みは、福岡・博多エリアの当院博多プライベート歯科でも多く寄せられます。
ノンクラスプデンチャーは金属バネがなく、周囲に気づかれにくい画期的な入れ歯です。費用相場は10万〜30万円前後ですが、当院では単なる見た目だけでなく、噛み合わせを極めた「精密入れ歯」を提供しています。
安さだけで選ぶと寿命や健康面で後悔するリスクがあるため、専門歯科の視点から正しい選び方を詳しく解説します。

ノンクラスプデンチャーは、従来の入れ歯の最大の悩みであった金属のバネをなくした、審美性の高い入れ歯です。
ここでは、基本構造から具体的なメリット・デメリットまで、専門的な知見をもとに掘り下げていきます。
ノンクラスプデンチャーの最大の特徴は、その名の通り「クラスプ(金属のバネ)」が存在しないことです。
特殊なナイロン樹脂や熱可塑性樹脂を使用しており、素材そのものの弾性を利用して歯茎にフィットさせる仕組みとなっています。
お口を開けた際に金属色が一切見えず、まるで自分の歯と歯茎がそのまま残っているかのような自然な外観を維持できるのが最大のメリットです。

また、従来の入れ歯に比べて非常に薄くて軽量であるため、装着時の違和感や喋りにくさが大幅に軽減されます。金属を使用しないため、金属アレルギーの方でも安心して使用できる点も、現代の歯科治療において高く評価されているポイントです。
お孫さんと笑顔で写真を撮ったり、友人とのお喋りを楽しんだりといった、日常生活の質を向上させる可能性を秘めています。
非常に優れた審美性を持つノンクラスプデンチャーですが、自費診療ならではの注意点も存在します。
まず、素材が樹脂であるため、一般的には2〜5年程度が寿命の目安とされており、経年劣化による変色や弾性の低下は避けられません。
また、金属バネがない分、素材を薄くしすぎると強度が不足し、割れたり折れたりした際の修理が非常に難しい(あるいは不可能で作り直しになる)という側面もあります。
さらに、日本の健康保険制度が適用されない「自費診療(自由診療)」となるため、初期費用が保険診療の入れ歯よりも高額になる点は理解しておく必要があります。
しかし「精密な設計」と「質の高い素材選び」によって、ある程度のリスクコントロールが可能です。
単なる見た目重視の道具としてではなく、お口全体の健康を守るための装置として、特性を正しく理解することが大切です。

入れ歯治療を検討する際、最も気になるのが「結局いくらかかるのか?」という点ではないでしょうか。
ここでは、保険診療やインプラントとの比較を交えながら、ノンクラスプデンチャーの費用構造を紐解いていきます。
以下の表に、代表的な欠損補綴(歯を失った際の治療)の比較をまとめました。2026年現在の一般的な市場相場に基づいています。
| 治療法 | 費用目安 | 審美性 | 噛む力 | 保険適用 |
|---|---|---|---|---|
| 保険の入れ歯 | 5,000円~15,000円 | 低(金属が目立つ) | 弱い | 適用 |
| ノンクラスプデンチャー | 10万円〜30万円 | 高(非常に自然) | 普通 | 対象外 |
| インプラント | 35万円〜50万円 | 高(天然歯に近い) | 強い | 対象外 |
上記のように、ノンクラスプデンチャーは保険診療とインプラントの中間に位置する選択肢と言えます。
「手術はしたくないけれど、保険の入れ歯では満足できない」という層にとって、非常にバランスの良い治療法です。
ノンクラスプデンチャーの費用が歯科医院によって10万円〜30万円と幅があるのには、明確な理由があります。
第一に使用する樹脂の質です。世界的にシェアの高い高品質な樹脂は耐久性や変色耐性に優れていますが、その分材料費が高くなります。
第二に欠損している歯の本数です。1〜2本の部分入れ歯と、多くの歯を補う広範囲の入れ歯では、設計の難易度も製作コストも異なります。
そして第三に、最も重要なのが製作工程の精密さです。安価な設定の医院では、既製品に近い工程で製作されることがありますが、高価格帯の医院では、型取りを何度も行い、噛み合わせのシミュレーションに膨大な時間を費やします。
手間の差が、最終的なフィット感や、残っている自分の歯を長持ちさせられるかどうかに直結するのです。

インターネットや広告で格安のノンクラスプデンチャーを見かけることがありますが、医療において極端な安さには必ず理由があります。
ここでは、安易な価格選択が招く深刻なリスクについて警告します。
安価な入れ歯の多くは、十分な噛み合わせの分析を行わずに製作されます。
入れ歯は単に隙間を埋めるものではなく、上下の歯が正しくぶつかり合うように設計されなければなりません。
噛み合わせがズレた状態で使用し続けると、入れ歯を支えている周囲の健康な歯に過度な負担がかかり、結果として数年後には抜けてしまうという悲劇を招きます。
「安く済ませたつもりが、結局他の歯も失ってさらに高額な治療が必要になった」というケースは後を絶ちません。
博多プライベート歯科では、単体の入れ歯を作るのではなくお口全体のバランスを整えるという視点を欠かしません。
医療は妥協してはいけない領域であり、目先の数万円を惜しむことが、将来的なお口の崩壊につながるリスクを十分に理解していただく必要があります。
ノンクラスプデンチャーに使用される樹脂には、ランクがあります。
安価な素材は吸水性が高く、お口の中の細菌や食べ物の色素を吸収しやすいという欠点があります。
そのため、使い始めて半年も経たないうちに変色したり、落ちない汚れ(プラーク)が付着して強い口臭の原因になったりすることがあります。
また、強度が低い素材は変形しやすく、使っているうちに「合わない」と感じるようになります。
高品質な樹脂であれば、表面が緻密に加工されているため汚れがつきにくく、清掃性も高いのが特徴です。
毎日お口の中に入れるものだからこそ、衛生面と耐久性に優れた素材を選ぶことは、全身の健康を守ることにも直結します。
多くの格安歯科医院では「作って終わり」というスタイルが珍しくありません。
しかし、人間の歯茎や顎の骨は加齢とともに変化します。ノンクラスプデンチャーは素材の特性上、一般的な保険の入れ歯(レジン製)のように、歯科医院のチェアサイドで簡単に裏打ち(リライン)をしたり、削って盛り足したりすることが極めて困難です。
アフターフォロー体制が整っていない医院で購入すると、少し合わなくなっただけで「また新しく作り直しましょう」と言われ、結果的に再製作コストが嵩んでしまいます。
初期費用だけでなく、何年間快適に使い続けられるかという耐用年数あたりのコストで考えることが、良い選択と言えるでしょう。

当院では、症例資料に基づいた確かな実績と、独自のリハビリステップを組み合わせた治療を行っています。
単に歯を補うだけでなく、全身の不調まで改善することを目指したオーダーメイドの入れ歯です。

博多プライベート歯科での精密入れ歯の費用目安が25万円〜45万円で設定されている理由は、当院が世界基準のBPSシステムを採用し、顎の骨の位置まで考慮した噛める入れ歯を追求しているからです。
実際の症例でも、もともと強い噛む力で自分の歯が壊れてしまった患者様に対し、単に見た目を整えるだけでなく、残存歯を守るための緻密なバランス調整を行っています。
当院では「噛み合わせが悪いと、1本だけを削っても根本的な解決にはならない」という考えから、お口全体をトータルに検査し、熟練の歯科技工士と連携して、食事の味や温度、さらには発音のしやすさまで追求した設計を行います。
価格設定の背景には、その後数年間の「噛める喜び」と「再治療の必要性がない安心」が含まれているのです。

当院には、30年以上も歯科治療に恐怖心を抱き、お口がボロボロになってしまった患者様も来院されます。
患者様は「もう二度と叱られたくない、痛い思いをしたくない」という一心で当院を頼ってくださいました。

施 術 名 │精密入れ歯治療
料 金 │25万円~45万円(治療費は入れ歯の材質などによって異なります)
考えられるリスク │調整を怠ると歯肉に痛み、噛みにくさなどを感じることがあります。定期検診を受診してください。
精密入れ歯治療の結果、今では大好きなおせんべいをバリバリと食べられるまで回復されています。
また、別の患者様では、入れ歯の噛み合わせを正したことで、長年悩まされていた「耳鳴り、首筋のコリ、肩こり、足の冷え」が改善したという事例もあります。
噛み合わせが整い、顎の骨が正常な位置に戻ることで、快方に向かうケースは少なくありません。
当院の入れ歯は、単なる歯科治療を超え、人生の活力を取り戻すためのリハビリテーションなのです。

当院の最大の特徴は、いきなり最終的な入れ歯を作らないことです。
まず「リハビリ用入れ歯(治療用義歯)」をお作りし、数ヶ月間、実際に生活の中で使用していただきます。
リハビリ期間に顎のずれや表情筋の歪みを矯正し、しっかりと噛める位置を確認してから、最終的な精密ノンクラスプデンチャーへと移行します。
60代男性の患者様も、リハビリステップを経て、噛み合わせだけでなく口角が上がり、お顔の表情まで若返りました。
1日の診療人数を絞り、福岡県外からも多くの患者様が訪れる理由は、妥協しない工程にあります。
博多駅近くという立地もあり、九州全域から「最後の入れ歯にしたい」と願う方が集まっています。

高品質な治療を受けたいけれど、一度にまとまった費用を支払うのは難しいという方も多いでしょう。
ここでは、負担を軽減しながら最善の治療を受けるための具体的な方法をご紹介します。

当院では、自費診療専用の「デンタルローン」を導入しており、手続きも非常に簡単です。
月々3,000円〜の分割払いが可能で、クレジットカードよりも低い手数料で利用できるため、多くの方がこの制度を活用して治療を開始されています。
「お金が貯まってから」と治療を先延ばしにする間にも、噛み合わせの崩壊は進み、他の健康な歯が失われてしまいます。
ローンを活用して、今すぐ快適な食生活と自信に満ちた笑顔を取り戻すことは、10年後の健康維持を考えれば、非常に賢い自己投資と言えます。

精密入れ歯治療は、所得税の「医療費控除」の対象となります。
自分や家族のために支払った医療費が年間10万円を超えた場合、確定申告によって税金の一部が戻ってきます。
例えば、30万円の治療を受けた場合、所得によっては数万円の還付を受けることができ、実質的な負担額を抑えられます。
領収書は大切に保管してください。当院の受付でも、控除に関するアドバイスを行っておりますので、お気軽にお尋ねください。

患者様から、カウンセリング時に多くいただく質問にお答えします。
A:素材の寿命は2〜5年と言われますが、当院の精密入れ歯は噛み合わせを徹底的に調整しているため、特定の場所に過度な力がかからず、結果として長持ちする傾向にあります。
患者様の中には、4本のブラシを使い分けて大切にお手入れしてくださる方もおり、日々のケアと半年に一度の点検で、快適な状態を長く維持できます。
A:はい、1本からでも製作可能です。
むしろ、1本の欠損を放置したり、安価な入れ歯で済ませたりすることで、隣の健康な歯が倒れてくるリスクがあります。
大切な歯を守るためにこそ、精密な設計のノンクラスプデンチャーをお勧めします。
A:はい、もちろん可能です。
当院は博多駅からアクセスが良いため、九州各県だけでなく、山口県や島根県など遠方から新幹線で通われる方も多くいらっしゃいます。
通院回数を調整するプランもご提案できますので、まずは無料メール相談をご利用ください。

「安さで妥協した入れ歯は、いつか限界が来ます」。
一方で、ご自身のお口に完璧にフィットし、全身の健康まで支える精密入れ歯は、これからの人生を前向きに変えてくれるパートナーになります。
鏡を見るのが楽しくなり、お友達とのランチで好きなものを注文できる。
そんな当たり前で、かけがえのない毎日を取り戻しませんか。
福岡エリアで、精密なノンクラスプデンチャーを検討されているなら、ぜひ一度、博多プライベート歯科へご相談ください。
院長を始め、スタッフ一同あなたが再び心の底から笑える日を全力でサポートいたします。
【自由診療の標準的費用・リスク・副作用】
費用について
リスク・副作用
入れ歯治療における一般的なリスク・副作用
個々のリスクは口腔内状態や既往歴で異なります。
保証・メインテナンス
保証・再治療・定期メインテナンスの条件は別途ご案内します。
医療機関情報
医療機関名: 博多プライベート歯科
所在地: 博多駅 徒歩3分(福岡市博多区博多駅前2-18-25ホテル日航福岡地下1F)
電話番号: 092-260-3688
診療科目: 審美歯科・精密義歯(入れ歯)
院長: 田中 峻太郎
診療時間: 10:00~13:30/14:30~18:00
休診日: 月曜・日曜・祝日